今天给大家分享的第一病例7岁女孩,以右下腹痛来诊,在CT平扫检查中我们发现:右侧附件区可见囊性占位,以液性为主,其内可见脂肪成分及点状钙化影,边界清晰。考虑:右附件区畸胎瘤






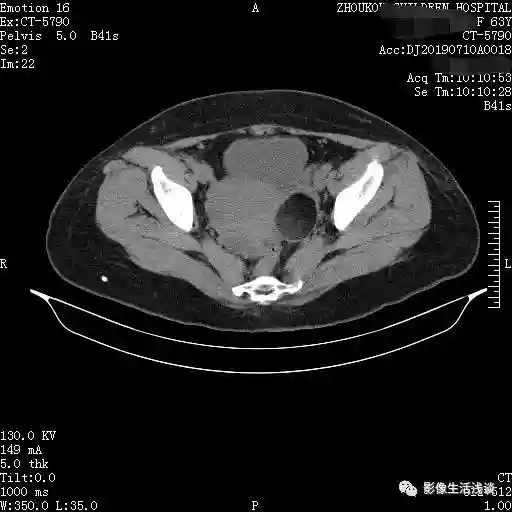
第二个病例女性63岁,体检CT中发现盆腔内左附件区囊性占位:









通过以上病例我们可以发现卵巢畸胎瘤CT表现,大部分情况下是呈多个囊性的病变,囊内套囊。每个囊的信号或者密度是不相同的,各个囊内的内容物也是不相同的。影像学常见的主要是脂肪、液体及骨骼等内容物,有一定的特征性的密度信号。在此情况下就提示是畸胎瘤,部分囊可以见到有头节形成的结节或肿块。如果囊壁的结节比较大呈肿块型,边缘不规则,囊外有侵犯有可能是恶性的。增强扫描囊壁与结节之间可有轻度或中度的强化,根据相应的CT的表现,同时也要结合女性相应的肿瘤标志物、临床表现,来给予综合的判断以及后续的处理,做到早发现早处理,降低恶性畸胎瘤的发病率。